Đô vật 44 tuổi tử vong tại hội làng: Bác sĩ cảnh báo đòn đánh gây chấn thương cổ
Sự việc một nam đô vật 44 tuổi tử vong sau trận đấu tại hội vật truyền thống ở xã Kim Anh, huyện Đông Anh (Hà Nội) đang khiến dư luận bàng hoàng.
Hé lộ manh mối về nguồn gốc của bệnh u xương
Một nhóm nhà khoa học Trung Quốc vừa công bố phát hiện đầu tiên về một khối u xương ở động vật có xương sống được bảo quản trong hổ phách.
Thứ hạt rẻ tiền nhưng được mệnh danh là "trường thọ”
Giá rẻ và dễ mua, lạc từ lâu được mệnh danh là “hạt trường thọ”. Nhiều người chỉ biết rằng hạt lạc là món ăn vặt ngon miệng mà không biết rằng loại hạt nhỏ bé này lại mang tới rất nhiều lợi ích cho sức khỏe. Lạc rất giàu các thành phần dinh dưỡng, chẳng hạn như protein, vitamin nhóm B, chất xơ.
Nguy cơ chấn thương mắt từ cơn sốt Pickleball
Dù đang tạo nên một làn sóng thể thao bùng nổ trên toàn cầu nhờ tính giải trí và dễ tiếp cận, Pickleball lại tiềm ẩn những rủi ro nghiêm trọng về thị lực mà đa số người chơi hiện nay vẫn đang chủ quan bỏ qua.
Cựu Bộ trưởng Nguyễn Thị Kim Tiến được cấp dưới chia 7,5 tỷ đồng từ 100 tỷ nhận hối lộ
Ngày 27/2, Cơ quan Cảnh sát điều tra Bộ Công an đã hoàn tất kết luận điều tra vụ án tại Bệnh viện Bạch Mai và Bệnh viện Hữu nghị Việt Đức cơ sở 2, xác định số tiền các doanh nghiệp đã 'chung chi' trong quá trình thực hiện các gói thầu là hơn 100 tỷ đồng. Trong số tiền này, cựu Bộ trưởng Bộ Y tế Nguyễn Thị Kim Tiến được cấp dưới đưa 7,5 tỷ đồng.
Bí quyết sống thọ của cụ ông 104 tuổi: Gắn bó với 3 món quen thuộc, cái số 1 ở quê mọc um tùm như cỏ
Khi nghe cách sống thọ của ông liên quan tới món ăn quen thuộc mọc um tùm như cỏ dại, không ít người cảm thấy nghi ngờ, nhưng nghe kỹ hơn thì muốn học theo ngay lập tức.
Cuộc gọi của bệnh nhân cũ đúng dịp 27/2 khiến ê kíp bác sĩ 'lặng đi vài giây'
Cuộc gọi chúc mừng ngày Thầy thuốc của nữ bệnh nhân từng ở lằn ranh sinh tử khiến ê kíp Phẫu thuật Lồng ngực Bạch Mai nghẹn ngào nhớ ca mổ định mệnh.
Người phụ nữ 54 tuổi đột ngột tử vong giữa đêm, bác sĩ chỉ ra 2 loại nước "cấm kỵ" uống trước khi ngủ
Trước khi đi ngủ, người phụ nữ 54 tuổi thưởng thức loại đồ uống mình yêu thích, không ngờ bà đột nhiên cảm thấy ngực đau nhói rồi bất tỉnh. Bác sĩ cảnh báo không được động vào 2 loại nước này trước khi ngủ dù có khát đến mấy.
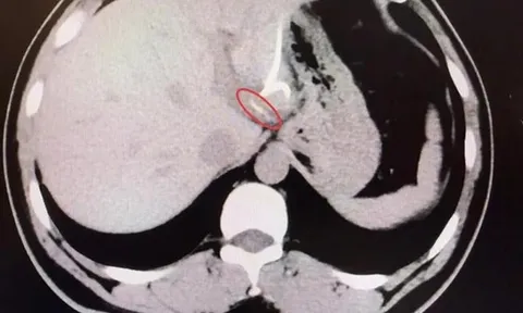
Người phụ nữ 66 tuổi đau bụng kéo dài, bác sĩ gắp ra thứ "đáng sợ"
Đau bụng kéo dài, người phụ nữ 66 tuổi đến viện khám, bác sĩ phẫu thuật thành công 2 khối u quái hiếm, một khối u chứa búi tóc bên trong.
Sốc nặng khi phát hiện nguyên nhân lấy chồng 3 năm mà chưa có con
Kết hôn 3 năm nhưng chị Nguyễn Thị Thu T. không có tin vui, sau thăm khám chị bị chẩn đoán suy buồng trứng sớm và chị đã rất tuyệt vọng.
Bàng hoàng: Người đàn ông ở Hà Nội gãy cổ, tử vong khi tham gia hội vật làng
Một đô vật bị chấn thương nghiêm trọng trong khi thi đấu tại hội vật ở xã Kim Anh (Hà Nội) và tử vong sau đó.
Em bé ở Thái Nguyên sống thực vật sau đuối nước "hồi sinh" kỳ diệu
Bệnh nhi bị đuối nước khoảng 20 phút dưới ao, tiên lượng tử vong nhưng đã hồi sinh kỳ diệu nhờ điều trị bằng thở oxy cao áp.
Đề nghị truy tố cựu Bộ trưởng Bộ Y tế Nguyễn Thị Kim Tiến và 9 bị can
Bà Nguyễn Thị Kim Tiến, cựu Bộ trưởng Bộ Y tế bị đề nghị truy tố về tội "Vi phạm quy định về quản lý, sử dụng tài sản Nhà nước gây thất thoát, lãng phí".
Hệ thống nhà thuốc Pharmacity: Khi mục tiêu sức khỏe cộng đồng là cốt lõi của phát triển bền vững
(Chinhphu.vn) - Nhắc đến Ngày Thầy thuốc Việt Nam 27/2, người ta thường nghĩ về những ca phẫu thuật căng thẳng hay những đêm trắng trong bệnh viện, nhưng trong hệ sinh thái chăm sóc sức khỏe, còn có một lực lượng âm thầm đứng ở tuyến đầu, nơi người dân tìm đến trước tiên mỗi khi cơ thể lên tiếng: Đó là các dược sĩ cộng đồng.